〒863-0031
熊本県天草市南新町7-8
TEL: 0969-23-5252


審美歯科
医療法人 スマイルライン
中村歯科医院
〒863-0031
熊本県天草市南新町7-8
TEL: 0969-23-5252

HOME > 審美歯科

審美歯科治療

最近、多くの子供たちが矯正をしたり、大人になってもホワイトニングやPMTC(専門家による歯のクリーニング)など、歯を美しく見せることに力を入れています。美しいスマイルはとても魅力的で、清潔で、
明るいイメージを与えるからです。審美歯科とは、通常歯科で行う虫歯や歯周病、インプラント治療などの治療に「美しさ」という視点をプラスし、
皆さんの美しい口元をつくり、より輝ける笑顔にする、それが審美歯科なのです。

審美歯科治療

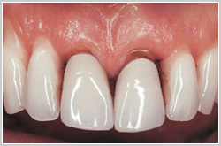
天然歯における審美

審美修復: プロセラによるオールセラミッククラウン

Procera Flow
Copyright©Nakamura Dental Office. All Rights Reserved.